| 医院名 |
|---|
| 長野整形外科 |
| 院長 |
| 長野 洋司 |
| 住所 |
| 〒799-2113 愛媛県今治市高部甲532-1 |
| 診療科目 |
| 整形外科・リウマチ科・リハビリテーション科 |
| 電話番号 |
| 0898-41-3111 |
※学生のデータとりは、しばらく休ませていただきます
2月は肘

≪ナースの分析≫
私のイメージでは、肘通=野球部なのですが、実際、今回の7名中5名は野球部でした。
7名中6名が内側の痛みがあり、左右で比べると、たいてい肘関節の動きも悪くなっています。野球肘の診断がつくと、野球禁止で安静にと言われるのですが、シーズンオフのプロ野球と違い、少年野球は年中試合が組まれていて、練習ができなくなると不安なのでしょう。
時に涙する子供もいます。(><。)
ただ、子供の将来を考えるなら、今、無理をさせる方がいいのか我慢させるべきかは親子で考えてほしいです。
1月は膝

≪ナースの分析≫
以前のデータをとっていた時も、下肢のケガをする人は多いので、今月にかぎらず膝を痛める人は多いです。この時期は学校ではマラソンや持久走で走る授業が多く、原因の中では、主となっているようです。
運動前のストレッチは、重要と以前から言っていたのに、実は私の子供もこの数の中に入っているんですよね。
ほとんどの子は、安静にして様子みることですんでいますが、靭帯を調べる必要がある現金はMRI検査をすすめています。
12月は手関節

≪ナースの分析≫
手関節は足関節と同様にケガの多い部位である。
人は転倒してしまう!と思った瞬間、防御反応で手を出してしまい、
ひねったり、打ったりして受傷するケースが多いです。
今回もスポーツを種目としては、バレーボール・サッカー・ドッヂボール・体育のとび箱などさまざまでした。転倒する時、手が出るのは若い証拠などと言いますが、若不骨折とも言われる橈骨遠位端骨折は、今回2人だけで、多くは経過観察ですんでいました。
また、ギプスするほどではないけれども安静のために、リストサポート固定が各自でつけはずしできるので、好まれています。
11月は腰

≪ナースの分析≫
この時期、体育の時間 持久走をしているところが多く、持久走が原因でいろいろな部位を痛める人があります。
その中で腰痛をおこした高校生女子・・・欠席すると補修があるからと、コルセットをつけて出席することになりました。(学生の事情です。)
今回、学生さんは少なめでしたが、寒くなった関係で、腰痛を訴える大人の人は多めの月でした。
長時間の座位・とっさの動きの後などに痛みが↑することがあるようです。
寒さで体が硬くなっている時は注意です。
今回から、データのとり方を変え、月ごとに、部位をポイントにして見てみることにしました。
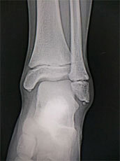
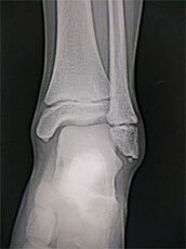
10月は足関節

足関節を痛める場合「ひねる」原因がほとんどですが、今回の9名中、7名がひねっています。状況はさまざまで、体育中、部活中、階段をおりる時、バスから降りる時、自転車で転倒した時などありました。人間の体を支える土台にあたる関節ですから、不意にバランスを崩すと負担がかかりやすいと思われます。
ニュースでも問題視されている自転車の事故の多さ、今回も自転車の関わる人が2名いました。ヘルメット着用が義務ではない高校生はマナーにも気をつけ、走行してほしいです。
足関節の捻挫といえど、重傷であればギプス固定をしますが、今回は1名だけで、大半はサポーター着用でいける人が多かったです。
集計が遅れてしまい、今回は2ヶ月分となってしまいました
夏休みの後半から、9月にかけて…学校は陸上と運動会という秋のイベントに向けて、体操服がドロドロの毎日が続きました。

夏休み後半から始まった陸上の練習と2学期からの運動会練習の影響で、小学生の受診が多くなっていたようです。特に小学生男子に多かったのが踵の成長痛。ストレッチ指導をすると、体の硬い子が多いのも事実です。
また大腿部の肉離れをおこす中、高校生も多かったです。それだけこの時期は運動量も多くなるし、水分は不足しがちになるし、体調管理は重要です。
9月に運動会も終わり、次にある陸上大会や新人大会に向けて部活動は熱くなってきていると思います。野球肘などで、投球禁止や、運動を控えるよう言われた人もいますが、プロのスポーツ選手も調子の悪い時は休むように、無理せず体を休ませることも必要なことです。
子供達が待ちに待った夏休み~
親としては、早いうちに宿題すませないさいよというけれど、最近の子供達は、活動が多く、けっこう忙しくしているようだ…
我が家の前は海があり、よく子供達の楽しそうな声が聞こえていたが、今年は何の影響かその光景を見ることは少ない。
節電やエコで子供達の避暑地はどこにあるのだろう…。

| 治療法 | (人) |
|---|---|
| 安静(運動禁止含む) | 8 |
| 経過観察 | 28 |
| ギプス(シーネ)固定 | 6 |
| MRI検査 | 5 |
| 装具固定 | 3 |
| 湿布処方 | 2 |
| テーピング | 2 |
| セカンドオピニオン | 1 |
| 他科紹介 | 1 |
| 筋トレ指導 | 1 |
| 創処置 | 1 |
今回から1ヵ月単位(4週分)の分析にさせてもらいました。
夏の大会に向けて、痛みをこらえながら続ける子はやはり多いです。目標にしているところが何で、今はどの段階か、今大事なことは何か…院長は一緒に考えてくれます。
この暑い季節にギプスは、気の毒~だけど、運動できない分、宿題できるじゃんと言われた時だいたいみんな苦笑いしてる

| 治療法 | (人) |
|---|---|
| 経過観察 | 15 |
| 安静 | 4 |
| ギプス(シーネ)固定 | 12 |
| 筋トレ指導 | 2 |
| 装具(サポーター) | 7 |
| MRI検査 | 4 |
| 内服薬処方 | 1 |
| 消毒 | 1 |

今回もまた学生さんが多く来た週でした。
痛みが長く続いていても我慢している人は増悪したり、また違うところを痛めてしまったりの悪循環があることがあります。MRI検査をする人にはそういう人が多かったりします。ギプスやシーネ固定をする人も多かったです。1日に3人4人もいると病院もバタバタしてしまいます。
学校は1学期も終わり夏休みに入ります。休みの間に体の不調ある人は診てもらっておきましょうね。
暑い夏がやってきました
運動する子供達に注意が必要な〝熱中症〟がニュースでもとりあげられています。
ありがたいことに、わが家は風の通りがいいので、まだ扇風機もクーラーも使っていない
節電生活を送っていますが、これから襲ってくる暑さとの戦いは、エコも考えながら工夫していかなくてはなりません。

| 治療法 | (人) |
|---|---|
| 安静 | 6 |
| サポーター | 3 |
| 湿布処方 | 3 |
| 経過観察 | 11 |
| 筋トレ指導 | 5 |
| ギプス(シーネ)固定 | 3 |
| テーピング | 2 |
| 他院紹介(セカンドオピニオン) | 1 |
| MRI検査 | 1 |
今回は、珍しく、小学生の受診が多い週でした。
男女比や、部位別はあまり変動はないようです。
いつも比べて、筋トレ指導が多い感じです。
成人の患者さんでも肉離れをおこしてくる人が多かったので、注意です!
実は、私の娘も下肢の不調を訴えており、ストレッチ指導しました。
(以前から言っていたのに親の言うことを聞いていないバツじゃ~)

| 治療法 | (人) |
|---|---|
| 安静 | 9 |
| テーピング | 2 |
| サポーター | 3 |
| ギプス(シーネ)固定 | 7 |
| 経過観察 | 18 |
| 創処置 | 3 |
| 筋トレ指導 | 1 |
| 内服や湿布の処方 | 3 |
前回少なくなっていた学生さんがまた多くなりました。今回は原因をスポーツ別ではなくて起こり方から分析してみました。長期間痛みをかかえている人は痛いながらも練習を続けたりするための過労性となっている場合が多く、安静指導をされる人が多いです。転倒のケガはとっさに手をついたりするため、ケガとしては重症度がUPしてしまいます。
今の時期、雨や湿気ですべりやすいこともありますから、気をつけましょう。
ひねるケガ、いわゆる捻挫は、足のイメージがありますが、足だけでなく、いろいろな部位を捻挫する可能性があります。やはり、柔軟性は高めておきましょう。
梅雨に入り、ジメジメ感がイヤなところ…洗濯物も乾かないし…
かと言って、カンカン照りの太陽もあまり好まれてはいないかも
今年は来ないかなと思っていたツバメが、我が家で今年も巣作りをはじめました。

| 治療法 | (人) |
|---|---|
| 安静(スポーツ禁止含む) | 6 |
| 経過観察 | 12 |
| ギブス固定 | 3 |
| 他院紹介(セカンドオピニオン) | 1 |
| 湿布処方 | 2 |
| 三角巾固定 | 1 |
| テーピング+サポーター | 2 |
今回は、受診する学生さんがいつもより少なめでよかったです。部活動でのケガは総体前だったし、十分注意されていたのでしょうか。
体育の授業での受傷が目につきました。総体前にケガをしていたけど痛みをこらえてがんばった中学生がいましたが、よくがんばりました。そんな状況の中で手にした優勝はうれしかったことでしょう。

| 治療法 | (人) |
|---|---|
| 安静(練習ひかえる) | 5 |
| 経過観察 | 13 |
| テーピング | 1 |
| MRI検査 | 2 |
| 湿布・軟こう処方 | 4 |
| サポーター | 2 |
| ギブス | 3 |
| 筋トレ指導 | 1 |
| 創処置 | 1 |
今回は、いつもに比べて小学生のケガが多く、男女比で見てもいつもより女の子のケガが多かったようです。原因としてはさまざまですが、学校内での思いもよらない所でのケガには注意されたし!総体まで、日がなくなってきました。総体まではとりあえず今のままでがんばる!と決めた子もいました。悔いの残らないようがんばってほしいです。
学校によっては内科検診もすみ、側わん症疑いで受診する人が出てきました。
勉強する時、テレビを見る時、どちらにしても姿勢はよくしておいた方がいいでしょう。

| 治療法 | (人) |
|---|---|
| 経過観察 | 14 |
| 湿布処方 | 5 |
| ギネス(シーネ)固定 | 4 |
| テーピング | 4 |
| 精密検査 | 1 |
| コルセット(装具) | 3 |
| 投薬(痛み止め) | 2 |
| 筋トレ指導 | 1 |
| 安静(練習ひかえめに) | 4 |
| レーザー治療 | 1 |
GWで休みがたくさんあったわりに受診者は多かった。運動量が激しい中・高校生の方がやはり多いようにも思います。私は娘しか育てていないので男の子の性質がわかりかねますが、こうしてみると、男の子ってケガがたえないのかなあと思いました。
時期が時期だけに、本来は安静にしておいた方がいい状態でも、少し練習を控えめにして、悔いのないよう試合をがんばっておいで!と特に3年生の学生には院長も寛大な心で指示を出されています。

いよいよゴールデンウィークがやってきます。長い休みをとれる大人に対し、今や子供の方が忙しい日々を送っており・・・高校生においては総体の地区予選、中学校においては親善大会などいろいろな大会があり、長期の休みを利用した遠征は小学生でもしています。
私の娘も小学校の時からスポーツ活動していたので、ここ数年家族でのんびり旅行…なんてことはしてなくて、海外旅行とかに行ってる家族がうらやましいと思ったこともありました。それでも、私にとっては、毎年子供達の予定にふり回されていることが充実した楽しい日々になっています。
せっかくの休みなので、スポーツがんばる子も、ゆっくり遊びに行く子もケガはしないように!

| 治療法 | (人) |
|---|---|
| 筋トレ指導 | 2 |
| ギブス(シーネ)固定 | 4 |
| 湿布処方 | 4 |
| 経過観察 | 9 |
| 装具・サポーター | 7 |
| MRI検査 | 1 |
| 他院紹介(セカンドオピニオン) | 2 |
| 安静(スポーツ禁止も含む) | 4 |
| テーピング | 5 |
| 鎮痛薬処方 | 1 |
| 関節内注射 | 1 |
| 消毒 | 1 |
今回は、高校生の受診が多かった。4月末に大事な試合がある人が多く、テーピングやサポーターでカバーして試合にのぞもうという人もいたし、チーム事情も考え、痛み止めを処方してでもする人も…。これから6月に向けてはますますヒートアップするはず!できる限り経過観察ですんでほしいものです。それにしても下半身のケガが多いですよね
手を使う競技でも足腰の強化がされて、安定性がないとダメなんでしょうね。

4月になり、2人の娘は、中学校と高校にそれぞれ入学となった。新しい世界を見る楽しみと不安でいっぱいかも知れないけど、自分で決めた部活動に熱中して思い出をいっぱい作ってほしいと思います。

| 治療法 | (人) |
|---|---|
| 経過観察 | 16 |
| ギブス(シーネ)固定 | 9 |
| 精密検査 | 3 |
| シップ処方 | 7 |
| 装具固定 | 6 |
| テーピング | 2 |
| 安静(スポーツ禁止) | 5 |
| 筋トレ指導 | 1 |
春休みに入り、学生さんの数は倍に増えた。
野球少年が多いのは野球がケガをしやすいスポーツというわけではなく、院長とのつながりが多くなっている部分もあるのでスポーツ種別は注目点ではなく、今回スポーツ以外の転倒による負傷が多かった点が気になる。)

| 治療法 | (人) |
|---|---|
| ギブス(シーネ)固定 | 7 |
| 経過観察 | 6 |
| シップ処方 | 5 |
| 装具固定 | 4 |
| 安静(スポーツ禁止) | 2 |
| 精密検査 | 1 |
| 筋トレ指導 | 1 |

3学期も終了。春休みに入りました。体育の授業も少なかったので、部活原因が増えています。
春休みから遠征や試合が増える中・高校生は疲労もたまりがち・・・。
もうすぐ4月なのにまだまだ寒い日が続いた中、ストレッチが不十分だと、下半身に影響でやすいのでしょうか?

| 治療法 | (人) |
|---|---|
| ギブス(シーネ)固定 | 5 |
| 経過観察 | 3 |
| シップ処方 | 12 |
| テーピング | 3 |
| サポーター | 5 |
| 安静(スポーツ禁止) | 4 |
| 創処置 | 3 |
| 筋トレ指導 | 4 |

3学期の最終月。体育でバスケットをする学校が多いようだ。ケガの原因として多くなっていた。普段運動している子でも、体育で違うスポーツをする時や、普段あまり動くのが好きでない子が体育をする時など、やはり準備体操の重要性を感じます。ケガをする子には体の硬い子が多いようにも思います。これからの時期 春の大会など試合に向けて部活動にますます熱がはいってくるかもしれませんが、大事な時期だからこそ、ケガをしないようにきをつけないとね。